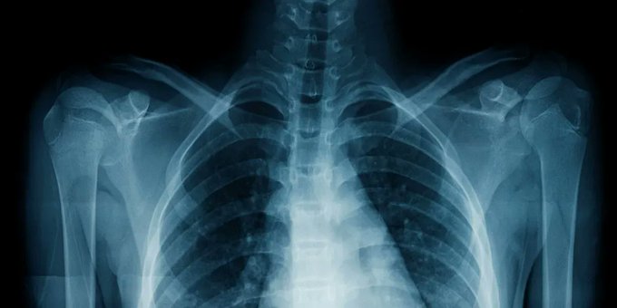
An AI used medical notes to teach itself to spot disease on chest x-rays
The model can diagnose problems as well as a human specialist, and doesn’t need lots of labor-intensive training data.
After crunching through thousands of chest x-rays and the clinical reports that accompany them, an AI has learned to spot diseases in those scans as accurately as a human radiologist.
The majority of current diagnostic AI models are trained on scans labeled by humans, but that labeling is a time-consuming process. The new model, called CheXzero, can instead “learn” on its own from existing medical reports that specialists have written in natural language.
The findings suggest that labeling x-rays for the purpose of training AI models to interpret medical images isn’t necessary, which could save both time and money.
A team of researchers from Harvard Medical School trained the CheXzero model on a publicly available data set of more than 377,000 chest x-rays and more than 227,000 corresponding clinical reports. This taught it to associate certain types of images with their existing notes, rather than learning from structured data that had been manually labeled for the task.
Mots-clés : cybersécurité, sécurité informatique, protection des données, menaces cybernétiques, veille cyber, analyse de vulnérabilités, sécurité des réseaux, cyberattaques, conformité RGPD, NIS2, DORA, PCIDSS, DEVSECOPS, eSANTE, intelligence artificielle, IA en cybersécurité, apprentissage automatique, deep learning, algorithmes de sécurité, détection des anomalies, systèmes intelligents, automatisation de la sécurité, IA pour la prévention des cyberattaques.






